الرياض -أقلام الخبر
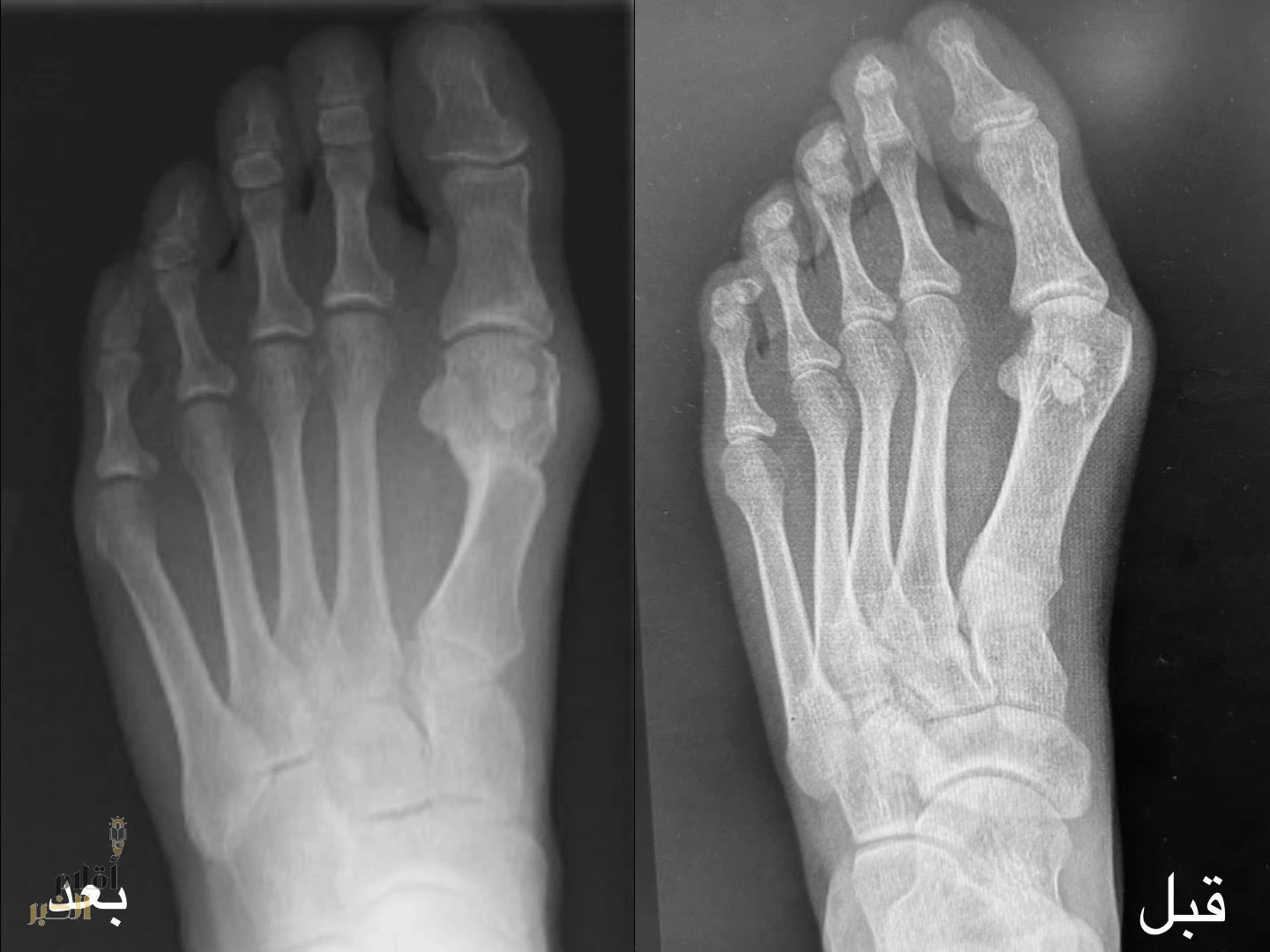
نجح فريق طبي في قسم جراحة العظام بمستشفى الإمام عبدالرحمن الفيصل، عضو تجمع الرياض الصحي الأول، في إجراء عملية نوعية باستخدام تقنية التدخل الجراحي المحدود (MIS)، لتصحيح تشوّه وانحراف إصبع القدم الكبير (Hallux Valgus)، لمريضة في العقد الثاني من عمرها كانت تعاني من تشوّه متقدم أثّر على حركتها ونشاطها اليومي.
وأوضح رئيس قسم جراحة العظام وقائد الفريق الطبي، الدكتور عقيل محمد المهدلي، أن المريضة خضعت لسلسلة من الفحوصات السريرية والأشعة التشخيصية قبل اتخاذ القرار الجراحي، حيث أُجريت العملية وفق أحدث المعايير الطبية المعتمدة، ولله الحمد تكللت بالنجاح التام.
وأشار إلى أن المتابعة بعد العملية أظهرت تحسنًا ملحوظًا في وظيفة القدم، حيث أصبحت المريضة قادرة على المشي بشكل طبيعي، وممارسة الرياضة، وارتداء مختلف أنواع الأحذية دون آلام، ما انعكس إيجابًا على جودة حياتها.
وبيّن الدكتور المهدلي أنه تم إعداد خطة تأهيلية دقيقة بعد العملية، مع متابعة مستمرة لضمان سرعة التعافي والحفاظ على النتائج الجراحية.
وعبّر عن فخره بنجاح هذه العملية باستخدام تقنية MIS في مستشفى الإمام عبدالرحمن الفيصل، مثمنًا روح العمل الجماعي والتكامل المهني بين أعضاء الفريق الطبي، والدعم المتواصل من الإدارة الطبية بالمستشفى.
وأكد أن هذا الإنجاز يجسد مستوى الكفاءة والخبرة في تطبيق التقنيات الجراحية الحديثة في جراحة القدم والكاحل، والالتزام بتقديم رعاية صحية متقدمة ترتكز على تحسين جودة حياة المرضى وتحقيق أفضل النتائج العلاجية.
وفي ختام حديثه، قدّم شكره وتقديره لجميع أعضاء الفريق الطبي، وكوادر التخدير والتمريض في غرف عمليات جراحة العظام، على جهودهم المتميزة وتعاونهم المثمر.

(0) التعليقات
تسجيل الدخول
إضافة رد على التعليق
الردود
لا توجد تعليقات